205
Avg. # of butterfly transitions in a standard practice
80
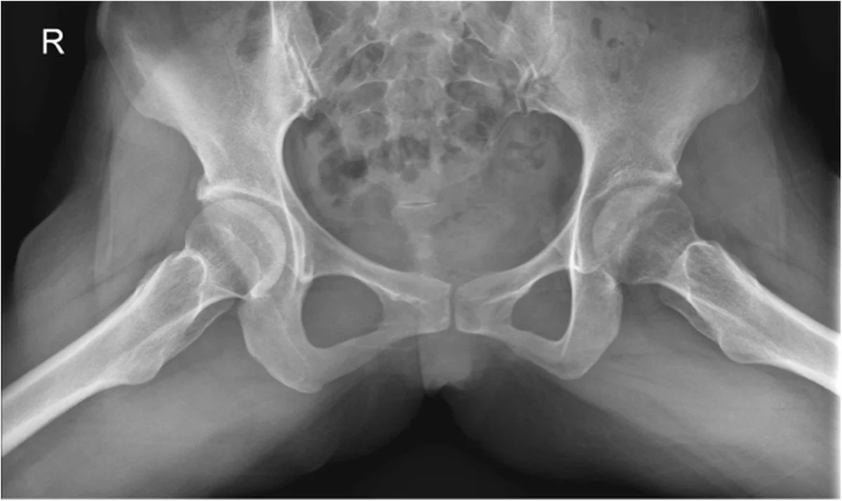
Percentage of professional goaltenders with hip labreal tears and previous or current Hip related injuries
140
Avg. # of butterfly transitions in a standard game
200
Approximate number of annual hip surgeries done on goaltenders aged 16-28 by one surgeon in Minn. USA
0
Number of effective science based goalie specific hip protocols for goaltenders before now
1
Number of off-ice and on-ice prehab programs you need to prevent excessive damage to the hip joint and surgery
190
Avg. # of T-Pushes in a standard practice
Access Programs, Protocols and Courses
Goaltender Health Courses
Hip Joint Longevity and Prehab
Brain Safety and Stress Management
Quote Source
“I played over 300 professional games in net with two 7+cm tears in my leabreums. Let’s prevent FAI together and manage hip damage so you can have an even longer career than me.
With an emphasis on corrective movements, joint stability and joint mobility we promote healthy biomechanics in the goaltender position to prevent common hip injuries and pathologies in goaltenders like FAI.
Learn more about our courses and programs